〔記者周為政員林報導〕一名台商,3年前有腰痛和排尿問題,雖至多家醫院求診,但一直沒改善,直到最近才由員榮醫院泌尿科副院長盧令一,憑經驗判定「膀胱結核」,服藥半年後治癒,這名台商說,幸及時找出原因,才保住膀胱。
這名台商說,他的腰痛和排尿困境一直無法解決,甚至差點就切掉膀胱,最近到員榮醫院泌尿科門診,經主治醫師盧令一以內視鏡檢查,懷疑膀胱結核作祟,盧醫師以結核菌培養,終於確定是核結菌問題。
台商說,他依主治醫師指示服藥六個月,終於將結核病菌殺死,症狀也得到明顯改善。
近六十歲的台商,因夜尿和頻尿問題先在大陸治療,但未獲改善,回台後繼續求診,曾被驗出「披衣菌」,懷疑是生活不檢點而朝性病方向治療,3年來看過中部醫學中心和區域醫院,醫師皆給抗生素藥劑,症狀雖有改善,但只是治標,頻尿、夜尿和尿量等問題無法解決,甚至症狀加劇,晚上睡覺起床上廁頻繁,生活品質大受影響,有醫師建議切除膀胱。
員榮醫院盧醫師聽完病情描述後安排膀胱鏡檢查,發現台商的膀胱變小及粘膜明顯乳酪狀壞死、輸尿管開口像高爾夫球洞一樣陷下去和尿道變窄等情況,懷疑結核菌感染(俗稱肺外結核),採驗結果確定「結核菌」,乃轉至胸腔科會診和治療。
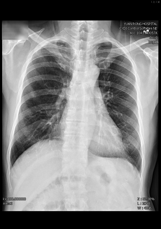
感染管制師李亦晨說,結核菌須在特殊培養基中才能培養出來,一般檢查需45天至60天,但這名台商在第24天就確定為膀胱結核,醫院依規定通報衛生局,並告知台商應連續服藥6個月,院方為他做肺部X光和痰液檢查,排除肺部感染,腎功能幸未受影響。
李管制師說,結核菌會侵犯人體很多器官,包括肺部、但腎臟、膀胱、骨頭、胃,甚至腦部也有影響,他說,幸有盧副院長的醫術而保住膀胱,人生也回復為彩色。
報社資訊
分享










