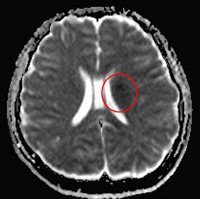
【記者張原銘、張皓傑台中報導】吳姓女大學生於校內出現突發性右側肢體無力及口齒含糊不清與構音困難,緊急送至鄰近區域醫院急診處置,經初步腦部斷層掃描後,顯示並無腦出血,而後由於症狀反覆惡化,且左側顏面神經麻痺,進一步採取腦部核磁共振造影檢查,並發現於基底核左側出現腦梗塞,因此隨即轉院至中山醫學大學附設醫院神經內科,透過一系列神經學檢查後,起初並無發現異常,胸前及經食道心臟超音波亦無看到左右心房分流,最後會診於兒童(先天性)心臟科安排微創心導管檢查,發現是「開放性卵圓孔型心房中膈缺損」所引起的腦中風,後經由「卵圓孔關閉器」順利封堵。
中山醫大附醫兒童心臟科主任郭業文表示,依據台灣腦中風發生率的研究,35歲以上的人口發生率約為千分之3,以35歲以上的人口數接近1千萬來計算,每年的腦中風新發生數約為3萬人,近年來也發現有越來越年輕化的趨勢,約兩成有缺血性中風的情形,年齡介於在18歲至50歲之間。
郭業文指出,腦中風目前是國人十大死亡率中僅次於「癌症」之第二位死因,平均每年有1.3萬人到1.5萬人死亡,但若將不同的癌症個別統計,腦中風會成為所有單一類疾病中,最主要的死因,同時,腦中風也是全球人口死亡與失能的主要原因,根據世界衛生組織統計,全世界每年約有1500萬人罹患腦中風,其中更有500萬人死於該病,另有500萬人因腦中風而永久殘疾,死亡率在65歲之後甚至增加了10倍之高。
在台灣,腦中風是成人殘障的第一主因,也是使用健保資源前三名的疾病之一,若一旦罹患突發性腦中風,常讓病患與家人措手不及,不僅會導致急性期的醫療照顧支出增加,在中、長期的醫療照顧支出與家庭社會的成本更是龐大,對國家也會造成極大的負擔。
臨床上,腦中風分成兩大類,即出血性腦中風與缺血性腦中風,即出血性腦中風的原因是腦部的血管破裂,缺血性腦中風則是腦部的血管阻塞,而大約70%-80%的中風是屬於缺血性腦中風。
另外,腦中風的原因也包含動脈粥狀硬化所導致的血管破裂、出血或狹窄,還有心房顫動引起的血栓,以及非粥狀動脈硬化疾病,如凝血問題及動脈炎等因素,其中有25%-40%之缺血性中風找不到明確病因,被稱為「隱源性中風(cryptogenic stroke)」。
郭業文表示,「隱源性中風」在45歲以下的族群發生率較高,對患者和家庭容易造成巨大衝擊與負擔,隱源性中風可能原因很多,其中有50%隱源性中風的患者同時還有開放性卵圓孔(patent foramen ovale,PFO),容易罹患突發性臉部、單側肢體、四肢發麻無力、口齒不清或暈眩等症狀的小中風,通常會在24小時內恢復正常。
郭業文並表示,根據文獻顯示,偏頭痛的患者常有開放性卵圓孔,尤其是預兆性偏頭痛(Migraine Aura)的患者(發作前5到20分鐘內易發生暈眩、耳鳴、看到亮點或閃光、手腳刺痛麻木,或是口齒不清等症狀),患有開放性卵圓孔的機率高達40%~60%。根據Schwedt等學者的報告,預兆性偏頭痛患者擁有開放性卵圓孔的機率比一般人高出約4.5倍。
「卵圓孔」在胎兒時期是循環系統必要的構造,一旦新生兒出生後,肺部擴張充滿空氣,改變血行動力學,此時就不需要卵圓孔的功能,並會在出生後約一至兩年內逐漸關閉,而無法自行閉合者,才會稱作開放性卵圓孔。
有25%的成年人卵圓孔不會自行關閉,若有來自下肢靜脈的血栓流回到心臟,有機會容易從右心房經卵圓孔到左心房,再掉到左心室後進入主動脈,最後阻塞腦部血管造成心源性腦中風的來源,而且根據研究顯示有四分一的缺血性中風患者是有機會復發,且復發會比第一次有更嚴重的肢體傷殘以及更高的死亡率。
郭業文說,早期的傳統開放性卵圓孔治療以抗凝血藥物或外科開心手術介入,包括開刀、體外循環讓心臟停止與打開心臟修補卵圓孔,但傳統開心手術傷口大,且易有併發症,承擔風險較高,患者復原期又長,而目前這方面的治療已不用開胸鋸骨。
現可透過微創心導管置放「卵圓孔關閉器」即可治療,透過一根約3毫米的細管,從鼠蹊部股靜脈經由下腔靜脈到右心房,穿過卵圓孔到左心房,釋放「左傘」卡住卵圓孔,再回到右心房把「右傘」釋放,使兩片傘將洞夾住補起來,封堵器的特殊材質可促進組織癒合,導管處置時間約半小時,且不需全身麻醉。
同時,此項目亦有健保給付;與傳統開心手術比較,微創手術復原速度快、安全性高、傷口小,住院天數也縮短至隔天就可康復出院回家,術後僅需要服用6個月的抗凝血藥物,若單以傳統藥物治療,再中風的機會仍有4%~10%,但經由微創心導管把卵圓孔關閉起來,則可減少97%以上再度中風的風險。
報社資訊
分享










