11歲緬甸華僑廖誠心小妹160度脊椎側彎 嘉基結合國際人道醫療 成功完成極重度脊椎側彎手術 身高長了十五公分
【記者張文一嘉義報導】搶救11歲緬甸華僑廖誠心小妹妹160度的脊椎側彎!嘉義基督教醫院(19)日舉行「誠心所願 讓生命轉彎 極重度脊椎側彎手術暨國際人道醫療記者會」,會中除了展現該院去年甫落成的智慧手術大樓以及新進醫療設備能帶來的醫療成果,也感謝參與國際人道醫療的愛心企業與教會支持。包含嘉義市衛生局醫政科王鳳玉科長、中華航空股份有限公司以及多家愛心醫療器材企業代表皆到場祝福,會中誠心小妹妹更親手拌製緬甸的特色菜「茶葉沙拉」,讓醫護與來賓們嚐鮮。
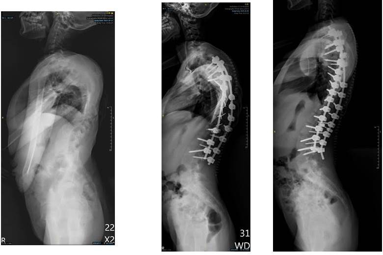
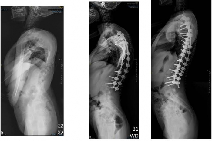
11歲的女孩廖誠心是緬甸華僑,出生時母親便發現誠心的左手骨骼和肩膀有些歪斜,三年前(2020),8歲的她背部開始出現明顯異常的凹凸。原本醫療不發達的緬甸,近年接連遭遇新冠疫情與軍事政變,海外人道醫療團無法、也不願再進入緬甸。誠心脊椎側彎的情況惡化很迅速,很快地,背部的隆起讓她無法躺平,只能側著睡覺;雖然正值愛漂亮的年紀,卻只能選擇尺寸大上好幾號的衣服,希望掩飾自己的不同,避開他人異樣的眼光。
除了影響外觀與自信,嚴重的脊椎側彎也逐日壓迫誠心的心肺與神經,若無法獲得治療,未來可能會癱瘓,肺炎或是劇烈的咳嗽對她來說也都是致命威脅。誠心擔任宣教士的父母本來經濟上就不算富裕,為了籌措出國就醫的龐大醫療費用,已打算賣掉僅有的房子;但不只是費用的問題,如此重度的脊椎側彎手術難度很大、風險也很高,很多醫院無法處理,讓他們急得像熱鍋上的螞蟻。最後因緣際會下,透過教會聯繫到了當時正在美國梅約醫學中心(Mayo Medical Center)研修脊椎矯正手術的嘉基小兒骨科醫師陳俊和。巧的是,陳醫師也是緬甸華僑,12歲時他與家人自緬甸來台發展,當時父親身上只有13塊美金,因此他很能體會那種無助的感覺。
他說。我其實原本去美國要研修的是足部變形跟髖關節手術,學校和補助都申請安排好了,學校卻受疫情影響停止計畫。」陳俊和因此被迫改變研修的地點,就連研修項目也變成脊椎矯正。原本覺得有些沮喪的他,卻在進修過程接到誠心父親的求助電話;加上嘉基智慧手術大樓和許多新設備的啟用,讓身為基督徒的陳俊和,相信這一切是上帝的安排,「雖然很挑戰,但我沒有推辭的理由。」
回台後他與院方討論,立刻獲得院方的全力支持,除了與嘉基脊椎微創中心主任黃儀鴻醫師合作,另外也請到台北慈濟的骨科權威曾效祖醫師參與手術。考量到誠心的神經與血管長年受壓迫,不適合一次變動太多以免造成癱瘓風險,因此分別於今年10月20日、11月3日各進行一次手術,兩次手術時間合計超過30個小時,成功讓側彎角度來到57度,從外觀上來看,誠心的背部已打直,心肺也不再受壓迫,身高更從135公分「長高」到150公分,接下來她還需要長期的復健,訓練呼吸與恢復重心。
台灣早期小兒麻痺橫行,嘉義也無倖免,當時已五十歲的嘉基創院院長戴德森醫師,看到許多脊椎側彎的小兒麻痺患者求助無門,但他自己是專攻外科與婦產科,所學有限,因此決定回到美國,學習骨科和脊椎側彎手術。學成回台後在嘉義和屏東兩地奔波,憑藉著簡單的手術設備,為數百位小兒麻痺脊椎側彎病患進行矯正手術,幫助他們重新站立,且手術費用全額由美國差會支付,病人不必付費,這份精神至今也仍持續傳承。
由於誠心沒有健保,單是醫療費用便超過180萬元,如果再加上來台交通與數個月的生活費用,誠心的父母恐怕賣掉房子也不夠支付。聽聞誠心家的狀況,中華航空公司除了免費贊助誠心仰光-台北的商務艙來回機票,還主動替誠心的父母艙位升等來陪伴誠心;雄鷹有限公司贊助手術用的高速氣鑽;寶億生技股份有限公司贊助骨釘、骨材;冠亞生技股份有限公司與傑鵬企業有限公司贊助脊椎固定系統;美商良衛股份有限公司台灣分公司與錦楊有限公司贊助血液回收系統;重維復健用品有限公司台中分公司贊助術後需要的背架…等,這些贊助價值合計約60萬元;嘉基也效法創院院長的精神,執刀與麻醉醫師團隊自願捐出手術費,並於醫院內部與教會募得20餘萬元,剩下不足的部分則由醫院的人道與海外關懷基金善款支應,不僅保住了誠心一家的房子,更圓滿了這個家。
「感謝主!她最開心的是終於可以穿上裙子!」誠心的父親廖長昌牧師說,在緬甸時常聽到別人評論誠心沒有辦法結婚或是不可能有幸福的人生,女兒雖然樂觀又堅強,但他跟太太還是很難過。因此能順利來台治療,不論是對嘉基、華航、醫療器材廠商、台灣的教會都充滿感謝,他跟太太緊繃的身心也終於能放鬆;而對於之前從未見過面,僅是因為聽聞他們的需要,就大方接待他們數月之久的方貞婷傳道,也是無比感激。誠心在記者會中更親手拌製緬甸的特色菜茶葉沙拉,讓醫護與來賓們嚐鮮,表達感謝之意。
嘉基院長姚維仁表示,醫院的「人道與海外關懷基金」善款由社會大眾捐獻,多用在海外義診以及弱勢者的國際醫療需求。在台灣由於有健保,醫療可近性也高,大部分的脊椎側彎患者會能及時就醫,先透過背架或其他方式矯正治療;但若持續惡化到了40度,便會歸類為重度脊椎側彎,建議進行手術。誠心小妹妹因為受限於經濟因素、當地醫療與政治現況,無奈之下才使側彎發展到驚人的160度。現在台灣已鮮少有如此嚴重的脊椎側彎個案,這次手術是由多位有經驗的醫師共同執刀,並憑藉嘉基智慧手術大樓最先進高端設備,以最新的脊椎固定骨釘以及高階術中影像系統、術中導航、神經監測等,帶著各界的支持一起讓誠心的生命成功轉彎,也祝福她有幸福健康的未來。
報社資訊
分享










