〔記者周為政員林報導〕罹患新冠重症,56歲男子經員榮醫院使用葉克膜搶救而保住性命。
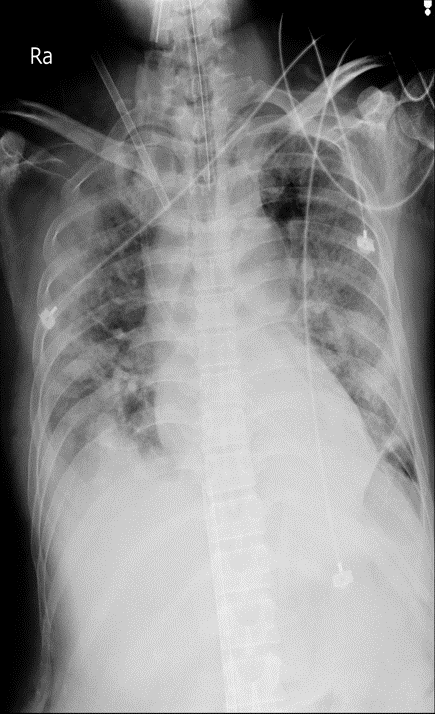
員榮醫院說,112年12月,患者因多日咳嗽和發燒、喘不過氣等症狀而到員榮醫院急診,患者心跳每分鐘144,血氧濃度只有百分之71(正常人99),經檢測為新冠陽性病毒,即送隔離病房,由胸腔內科副院長涂川洲收治住院。
由於患者病情變壞,住院當晚出現嚴重缺氧,經使用呼吸管仍不見改善,隔天胸部出現雙下葉肺部浸潤,動脈血氧和血壓降低,代謝性酸中毒,為嚴重的﹁呼吸窘困症候群﹂。
涂副院長研判唯有葉克膜體外維生系統,才可挽救患者性命,乃會診心臟外科主任賴金湖,並請醫院葉克膜小組啟動葉克膜手術。
賴主任以一個小時時間完成葉克膜置放手術,靜脈葉克膜開始運轉,病患血氧開始進步,醫師以抗病毒和抗生素藥物,將肺部感染控制住。
賴主任說,肺部情況好轉,組織器官血氧也改善,也藉葉克膜體外維生系統支持和肺部治療,一週後將葉克膜移除,接著5天後便拔掉呼吸管,農曆年前終於出院。
賴主任指出,這名病患是員榮醫院第一個裝葉克膜治療的病人,證明員榮醫院的重症照護能力。
員榮醫院說,衛福部疾管署公佈2月13日至19日新增711例本土確診,較前一周增加435例,為去年8月以來單周新高,死亡病例上周新增63例,預估呼吸道疫情2月底和3月初將有一波高峰,恐比春節前更嚴峻,呼籲民眾不要掉以輕心。
報社資訊
分享







