【記者林獻元台中報導】台中豐原一位60歲張先生近期因運動過程中發現呼吸不順暢、有總上氣不接下氣的感覺,也會有短暫冒冷汗的情形,於是到衛生福利部豐原醫院保康中心預約健康檢查。
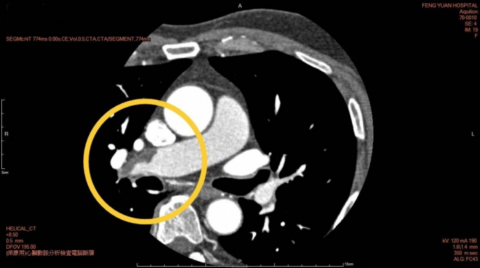
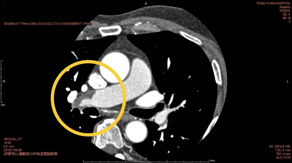
張先生本身是醫師過去也沒有相關慢性病史,此次健檢特別安排心臟冠狀動脈電腦斷層檢查,此檢查是一種非侵入性、相對安全性高的檢查,經由連續而快速與心電圖同步的攝影冠狀動脈的鈣化沈積或動脈硬化斑塊,並進而評估整條的血管阻塞情形,並具有同時檢查心臟周邊如肺臟組織等優點,以達到早期診斷心臟病變的目的。
檢查當天王先生無身體不適且配合檢查,當檢查持續進行放射師也同步檢視影像時,發現異常影像,隨即會同放射科黃竣聖醫師做討論及檢視影像,即發現是不常見的肺栓塞急症,與張先生解釋後立即住院,由心臟科林子翔醫師進行肺動脈心導管檢查治療,化解這個隱形危機,在多科醫療團隊照顧下平安順利出院。
豐原醫院心臟科林子翔醫師提醒民眾肺栓塞是一種由血栓導致的急性疾病,對生命構成嚴重威脅,未必容易察覺,直至開始嚴重時,病徵才會陸續浮現,常見徵狀包括呼吸不順暢、咳嗽、氣喘,以及胸口感到痛楚等,建議民眾如有相關症狀需尋求專業醫師診治,避免遺憾。
豐原醫院放射科黃竣聖醫師也再次強調每個人對於健康檢查的重要性,透過高階影像檢查及早發現潛在的健康危機,對於患有慢性疾病族群更應定期進行全面性的健康評估檢查,在每一次的健康檢查都是早期發現疾病,早期治療的寶貴機會。
報社資訊
分享










