【記者張原銘、張皓傑台中報導】慢性腹痛常被誤以為腸胃不適,但背後可能潛藏重大危機。臺中市立老人復健綜合醫院近期成功以先進的3D立體內視鏡高階微創手術,為一名長期受腹痛困擾的患者,同時切除左肝與膽囊,順利解除疼痛根源,本次高階微創手術不僅傷口小、恢復快,並避免肝內膽管反覆發炎導致癌變風險,展現市醫團隊在肝膽高階微創手術領域之專業與實力。
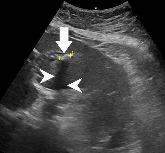
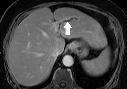
59歲陳女士長期承受間歇性腹痛,九月間於外院住院治療仍無改善,出院後轉至臺中市立老人復健綜合醫院。於肝膽腸胃科由內科部部長賴學洲醫師安排腹部超音波及核磁共振檢查,確診為左側肝內結石合併慢性肝內膽管炎及膽囊細沙併慢性膽囊炎,後經一般外科主任曹連誠醫師評估,安排 3D 立體內視鏡左肝切除加膽囊切除手術。患者術後恢復良好,第二天即可下床行走,自理生活,成功擺脫惱人的腹痛與長年不適。
肝臟及膽道手術過去大多以開腹方式進行,術後疼痛及恢復期長。此次採用的3D 立體內視鏡技術可清晰呈現肝臟內細微結構,3D立體視角搭配螢光血流影像,即時辨識血管與膽管位置,提高手術安全性與精準度。15 公分大的肝臟組織,僅透過約 5 公分傷口取出,可大幅降低術後疼痛與感染風險,縮短住院及復原時間,保留最多肝臟功能,同時避免肝內膽管癌長期風險。
本次手術由中醫大市醫一般外科、肝膽腸胃科及麻醉科團隊緊密合作完成。市醫積極建置高階微創手術能量,引進頂尖設備與臨床影像技術,由具豐富肝膽胰腫瘤及微創外科經驗的曹連誠主任主刀,結合團隊精熟的操作與術中風險管控,展現市醫在高難度肝臟內視鏡手術的整合能力與臨床實力。
醫師提醒,腹痛若反覆發生、無法以一般胃腸藥物改善,應及早就醫檢查,特別是合併發燒、黃疸、噁心等症狀,更應提高警覺。膽囊結石與肝內結石可能導致反覆感染,更可能增加癌症風險。選擇安全、精準、微創的治療方式,可降低併發症、縮短復原時間、改善生活品質。臺中市立老人復健綜合醫院將持續守護市民健康,提供先進醫療技術與貼心照護服務。
報社資訊
分享








