【記者張原銘、張皓傑台中報導】隨著現代人生活壓力增加,顳顎關節障礙症候群逐漸成為常見卻易被忽視的健康問題,症狀多元且影響層面廣泛。中山醫學大學附設醫院(以下簡稱中山附醫)整合跨專業醫療資源,成立「顳顎關節障礙症候群跨領域整合醫療團隊」,透過全方位治療模式,成功協助患者改善長期困擾,重拾生活品質。
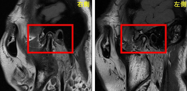
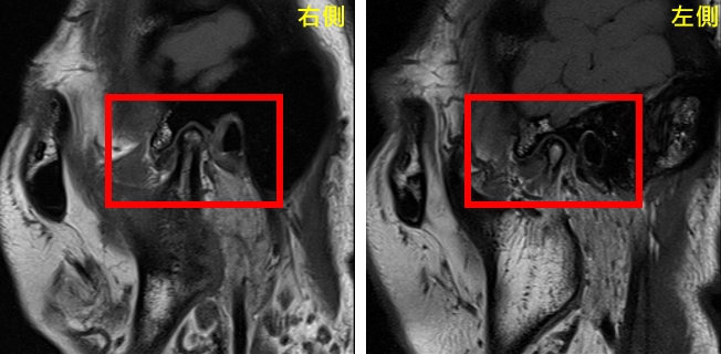
患者曾小姐自114年初起,因生活環境改變、壓力增加及失眠影響,陸續出現顳顎關節疼痛、臉頰緊繃、頭部壓迫感、牙齦抽痛及肩頸痠痛等多重症狀。患病期間曾小姐嘗試多種治療方式,卻始終未見明顯改善,不僅影響日常生活,也對心理健康造成負擔。直到114年12月時,曾小姐透過網路得知中山附醫新成立的「顳顎關節障礙症候群跨領域整合醫療團隊」,取得消息後並迅速至本院就醫,由口腔醫學部與智慧賦能中心共同介入,提供跨域整合式診療服務。
經評估後,由口腔顎面外科呂明怡主治醫師施行關節腔玻尿酸注射,並搭配智慧賦能中心林志峰主任進行震波治療,透過跨專業協作,針對病因進行整體性治療,短短一個月內,曾小姐的顳顎關節疼痛、臉頰緊繃、喉嚨異物感及肩頸痠痛等症狀大幅減輕,隨著持續治療,生活品質顯著提升,也逐漸找回自信與笑容。
曾小姐表示,過去嘗試過許多治療方式都沒有明顯效果,直到在中山附醫接受顳顎關節障礙症候群跨領域整合醫療團隊的診療,才真正看到改善的可能,希望透過自己本身的經驗能鼓勵更多病友,不要放棄尋找適合自己的治療方式。
中山附醫口腔醫學部部長暨台灣顱顎障礙症學會理事長余權航醫師指出,顳顎關節障礙症候群常伴隨疼痛、咀嚼困難及頭頸部不適等多重症狀,其成因複雜,涉及關節、肌肉、咬合及心理壓力等因素,治療上需仰賴跨領域專業整合。中山附醫智慧賦能中心林志峰主任強調,為提升治療成效,中山附醫率先於國內推動跨領域整合醫療模式,結合口腔醫學、物理治療、影像診斷及心理支持等資源,提供患者全方位照護,未來也將持續深化醫療服務,打造結合臨床、教學與研究的整合平台,陪伴更多患者邁向健康且有品質的生活。
報社資訊
分享










