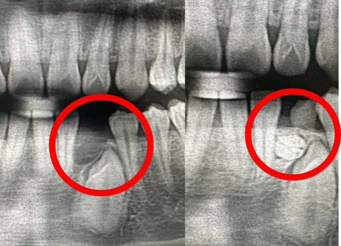
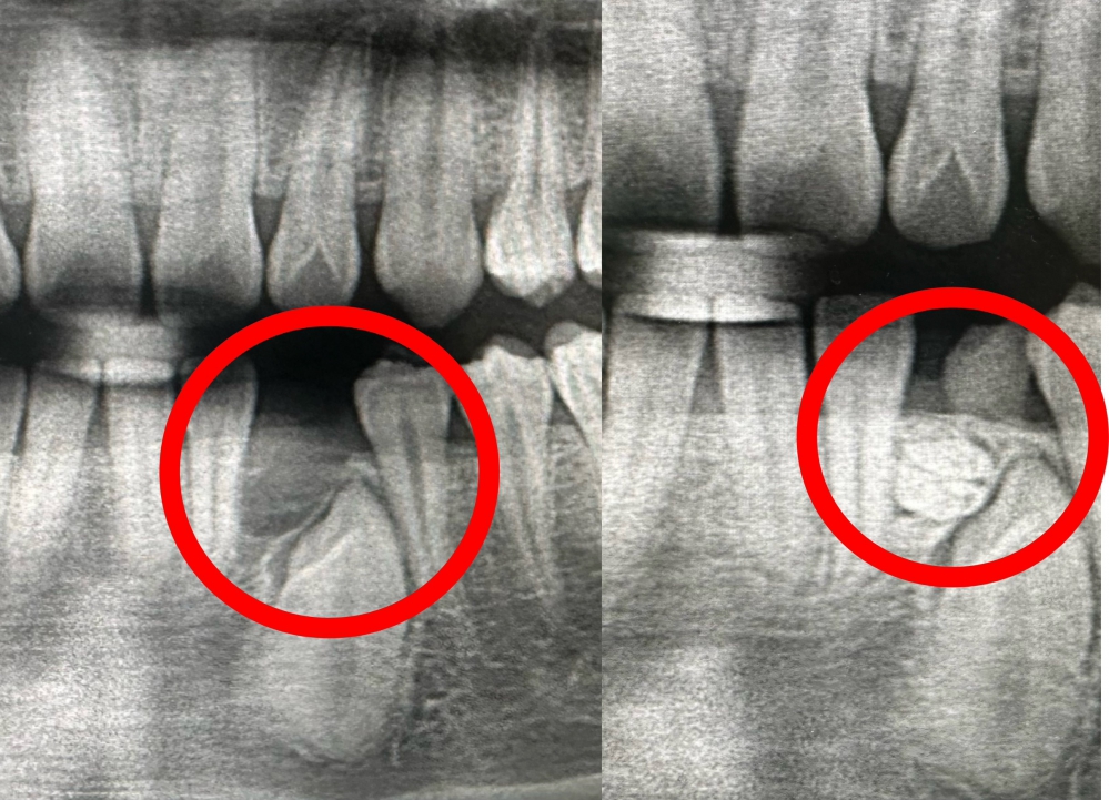
【記者林獻元台中報導】一名高中生大樹(化名),因乳牙遲遲未脫落,前往衛生福利部豐原醫院醫院求診,成長過程中完全沒有疼痛或不適感,原以為只是換牙較慢,沒想到透過X光檢查,竟在乳牙下方發現有約10顆牙齒組成的「齒瘤」,牙科主任朱晃照表示,這類情況相當罕見。朱晃照指出,齒瘤是口腔顎骨中最常見的良性齒源性腫瘤之一,但其實屬於牙齒發育異常形成的錯構瘤,內含牙釉質、牙本質與牙髓等組織,可能呈現為一顆顆迷你牙齒(混合性齒瘤),也可能是不規則鈣化團塊(複合性齒瘤),而本案例正是典型的多顆牙齒型態。
豐原醫院牙科主任朱晃照說明,根據研究指出齒瘤整體發生率約在0.2%至1%左右,齒瘤最容易被忽略的原因在於幾乎沒有症狀,齒瘤常見於青少年階段,尤其在換牙期間更需特別留意,不少患者直到恆牙遲遲未長出、牙齒排列異常,甚至準備矯正時才被發現,實際上齒瘤會阻擋牙齒正常萌發路徑,長期下來可能導致牙齒歪斜、咬合不正,甚至影響顎骨發育與臉型。朱晃照提到,若出現乳牙遲遲未脫落、恆牙未萌發、牙齦局部隆起,或牙齒排列突然出現異常等情況,都可能是齒瘤阻擋牙齒生長的徵兆。
朱晃照表示,在治療上,口腔顎面外科手術是關鍵,透過數位X光與3D影像定位,可精準判斷齒瘤位置與範圍,多數情況可採微創方式完整移除,傷口小、恢復期短,安全性高,術後再依牙齒生長情況評估是否需要矯正,多數患者都能順利恢復正常齒列。
朱晃照最後提醒,口腔健康不應僅依賴是否疼痛來判斷,特別是成長中的兒童與青少年,建議定期接受牙科檢查,必要時透過影像檢查掌握牙齒發育狀況,透過定期檢查提早發現,及早接受專業口腔外科治療,才能真正避免後續長期且複雜的牙科問題。
報社資訊
分享








