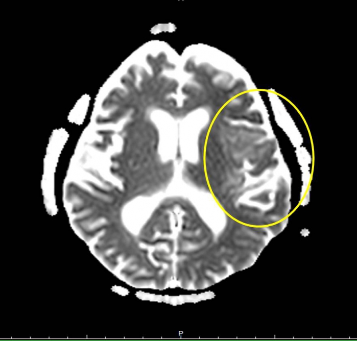
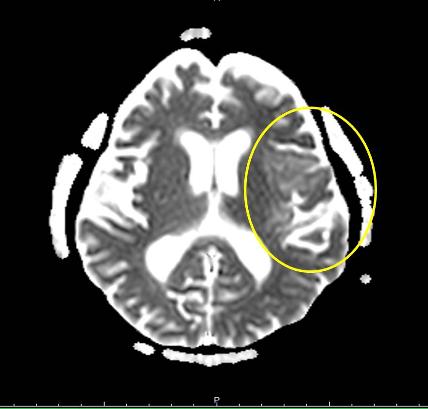
【記者林獻元台中報導】衛生福利部豐原醫院收治一名八十多歲女性,年初曾嘴角長水泡診斷為皰疹感染,同年三月又因臉歪嘴斜、說話口齒不清,至豐原神經外科門診求治,期間一度診斷為暫時性腦缺血,經腦部電腦斷層無特殊異常發現,在藥物治療後症狀緩解,出院後一週病人感覺不適、意識改變、不明原因發生癲癇,立即送醫,收治神經外科加護病房進行插管治療,並安排腦部核磁共振檢查診斷為腦炎及腰椎穿刺檢查採集腦脊髓液送檢驗,檢驗結果為第一型單純皰疹病毒感染,會同感染科主任黃駟榮醫師使用抗病毒藥物治療,治療後病人從意識昏迷、無法溝通,恢復到可以做簡單溝通、恢復狀況良好,讓家人感到欣慰。
豐原醫院感染科主任黃駟榮醫師表示,腦炎病因有病毒、細菌、真菌、寄生蟲等,病毒佔大多數,而單純疱疹病毒又佔了病毒性腦炎的多數,在免疫力較差的情況下,原本發生在身體其他部位的病毒感染,可能經由血液將病毒擴散至腦部而引發腦炎,如治療不及時會造成死亡率高,存活後易有有神經相關後遺症,例如意識不清、癲癇、實質性的腦部損傷等。
最後,黃駟榮醫師提醒民眾保持免疫力在理想狀態,包括生活習慣如:不要熬夜、避免工作壓力大。有疾病者像是糖尿病、自體免疫疾病或是接受腫瘤化療患者,就需要先控制本身疾病,降低風險,如有症狀發生經治療皆未改善,須提高警覺,透過必要檢查來進行正確診斷,盡早接受治療。
報社資訊
分享










